Переходный эпителий картинки (50 фото)

10:12
6 май 2023
623
[/not-group]

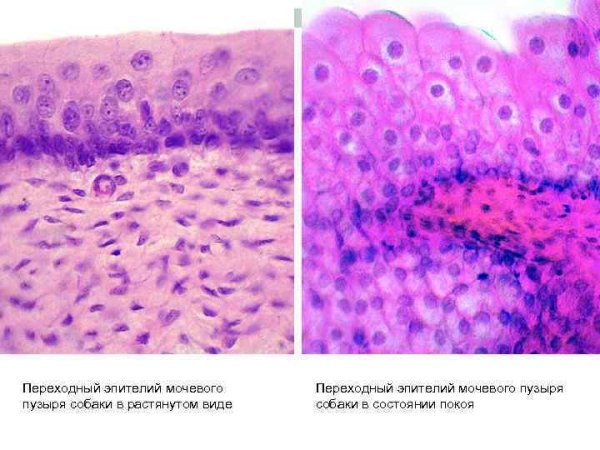
Переходный эпителий - это тип эпителиальной ткани, которая обладает особыми свойствами и присутствует в различных органах и системах нашего организма. Этот вид эпителия отличается способностью растягиваться и выдерживать сильные механические нагрузки, что делает его идеальным для образования стенок мочевого пузыря, мочеточников и других органов выделительной системы. Переходный эпителий также имеет способность изменять свою форму, адаптируясь к различным условиям и функциям органов, таким как мочеточники или мочевой пузырь. Благодаря этим свойствам, переходный эпителий обеспечивает эффективную защиту и функционирование указанных органов.


На этой странице размещено множество изображений из раздела "Картинки для срисовки". Все изображения из подборки можно скачать и просмотреть бесплатно. Также вы можете поделиться содержимым с друзьями в социальных сетях и мессенджерах. переходный эпителий картинки для срисовки


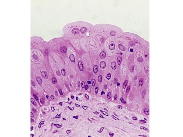
Многослойный переходный эпителий уротелий
Многослойный переходный эпителий уротелий

Переходный эпителий кератинизация
Переходный эпителий кератинизация

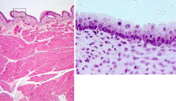
Мочевой пузырь (переходный эпителий, гладкая мышечная ткань).
Мочевой пузырь (переходный эпителий, гладкая мышечная ткань).

Многослойный переходный эпителий гистология
Многослойный переходный эпителий гистология

Многослойный переходный эпителий строение
Многослойный переходный эпителий строение

Переходный эпителий схема
Переходный эпителий схема

Строение переходного эпителия гистология
Строение переходного эпителия гистология

Многослойный переходный эпителий строение и функции
Многослойный переходный эпителий строение и функции

Многослойный переходный эпителий функции
Многослойный переходный эпителий функции


Однослойный переходный эпителий
Однослойный переходный эпителий

Переходный эпителий уротелий
Переходный эпителий уротелий

Многослойный переходный эпителий
Многослойный переходный эпителий

Многослойный переходный неороговевающий эпителий
Многослойный переходный неороговевающий эпителий

Переходный эпителий мочевого пузыря
Переходный эпителий мочевого пузыря

Многослойный переходный эпителий уротелий
Многослойный переходный эпителий уротелий

Многослойный переходный эпителий гистология
Многослойный переходный эпителий гистология


Мочеточник однослойный эпителий переходный
Мочеточник однослойный эпителий переходный

Многослойный переходный эпителий уротелий
Многослойный переходный эпителий уротелий

Многослойный переходный эпителий
Многослойный переходный эпителий

Многослойный переходный эпителий уротелий
Многослойный переходный эпителий уротелий

Многослойный переходный эпителий мочевого пузыря функции
Многослойный переходный эпителий мочевого пузыря функции

Многослойный переходный эпителий рисунок
Многослойный переходный эпителий рисунок

Однослойный многорядный переходный эпителий
Однослойный многорядный переходный эпителий

Переходный эпителий функции и местоположение
Переходный эпителий функции и местоположение

Переходной многослойный эпителий мочевой пузырь
Переходной многослойный эпителий мочевой пузырь

Функции многослойного переходного эпителия
Функции многослойного переходного эпителия

Моченой пузырь уроэпителий гистология
Моченой пузырь уроэпителий гистология

Многослойный переходный эпителий функции
Многослойный переходный эпителий функции

Переходный эпителий уротелий
Переходный эпителий уротелий

Многослойный переходный эпителий мочевого пузыря
Многослойный переходный эпителий мочевого пузыря

Мочевой пузырь окраска гематоксилин-эозином
Мочевой пузырь окраска гематоксилин-эозином

Эпителий мочевого пузыря гистология
Эпителий мочевого пузыря гистология

Однослойный переходный эпителий строение
Однослойный переходный эпителий строение

Многослойный эпителий мочевого пузыря
Многослойный эпителий мочевого пузыря

Многослойный переходный эпителий мочевого пузыря
Многослойный переходный эпителий мочевого пузыря

Уротелий мочевого пузыря гистология
Уротелий мочевого пузыря гистология

Переходный эпителий мочевого пузыря окраска гематоксилин-эозином
Переходный эпителий мочевого пузыря окраска гематоксилин-эозином

Эпителиальная ткань переходный эпителий
Эпителиальная ткань переходный эпителий

Многослойный переходный эпителий уротелий
Многослойный переходный эпителий уротелий

Ткани /эпителиальные ткани гистология
Ткани /эпителиальные ткани гистология

Переходный многослойный эпителий локализация
Переходный многослойный эпителий локализация

Многослойный переходный эпителий уротелий
Многослойный переходный эпителий уротелий

Многослойный переходный неороговевающий эпителий
Многослойный переходный неороговевающий эпителий

Однослойный многорядный переходный эпителий
Однослойный многорядный переходный эпителий

Схема многослойного переходного эпителия
Схема многослойного переходного эпителия

Почечный эпителий в моче микроскопия
Почечный эпителий в моче микроскопия

Многослойный плоский переходный эпителий
Многослойный плоский переходный эпителий

Переходный эпителий мочевого пузыря
Переходный эпителий мочевого пузыря
Комментировать
Комментарии (0)

Смотрите онлайн или можете скачать на телефон или компьютер в хорошем качестве совешенно бесплатно. Не забывайте оставить комментарий и посмотреть другие фотографии и изображения высокого качества, например Морда козла картинки (47 фото) и Катастрофа экологическая картинки (48 фото) из раздела Картинки для срисовки