кариотип человека картинки
Кариотип человека - это структура хромосом, представленная в виде фотографического изображения. Кариотип состоит из всех хромосом человека, упорядоченных по размеру и форме. Изучение кариотипа позволяет выявить наличие аномалий и генетических изменений, которые могут быть связаны с различными заболеваниями и наследственными патологиями. Кариотип человека является важным инструментом для диагностики и исследования генетических нарушений.
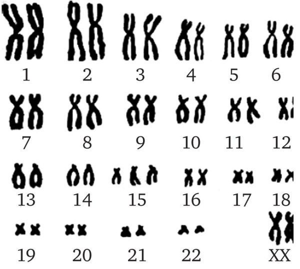
Кариотип 46 ХХ
Цитогенетический метод изучения кариотипа
Кариотип человека хромосомы
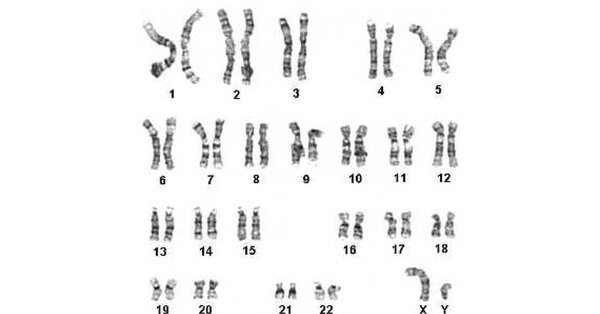
Кариотип больного с синдромом Клайнфельтера
Нормальный кариотип человека 46 хромосом
Кариотип набор хромосом 2n2c
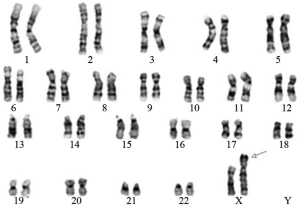
Синдром дисомии по у хромосоме кариотип
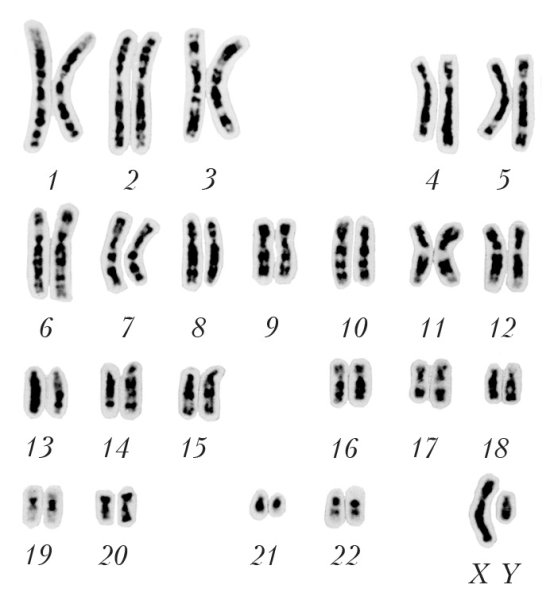
Кариограмма и идиограмма
Кариотип мухи дрозофилы
Кариотип человека по группам хромосом
Кариотип болезни синдрома Дауна
Кариотип здорового человека формула
Кариограмма синдрома Эдвардса
Показания для исследования кариотипа
Кариотип человека набор хромосом
Кариотип человека
Набор хромосом, геном, кариотип.
Кариотип набор хромосом 2n2c
Нормальный кариотип человека рисунок
Нормальный кариотип человека рисунок
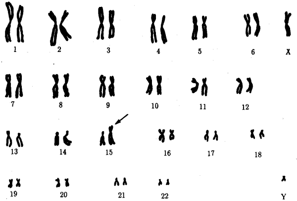
Синдром Патау трисомия по 13 хромосоме кариотип
Идиограмма синдрома Патау
Хромосомный набор кариотип человека рисунок
Нормальный кариотип человека рисунок
5. Кариотип человека
Кариотип человека схема
Синдром Дауна трисомия 21 хромосомы
Хромосомный набор клетки кариотип
Кариотип человека классификация хромосом человека
Кариотип человека
Кариотип человека набор хромосом
Кариотип соматических хромосом
Кариограмма хромосом здорового человека
Нормальный кариотип хромосомы
Кариотип классификация хромосом
Кариотип человека схема
Кариотип человека классификация хромосом человека
Кариотип больного с синдромом Эдвардса
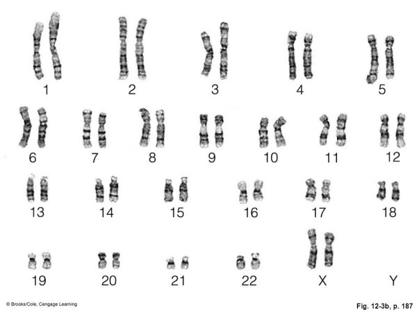
Нормальный кариотип женщины 46 ХХ
Кариотип человека набор хромосом
Кариотип человека полный набор хромосом
Кариотип набор хромосом 2n2c
Бэндинг хромосом
Кариограмма хромосом мужчины
Кариотип человека. Набор хромосом женщины
Комментировать
Комментарии (0)
Смотрите онлайн или можете скачать на телефон или компьютер в хорошем качестве совешенно бесплатно. Не забывайте оставить комментарий и посмотреть другие фотографии и изображения высокого качества, например речная система картинки и смайлик картинки подмигивающий из раздела Картинки для срисовки






Grizly.club